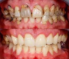
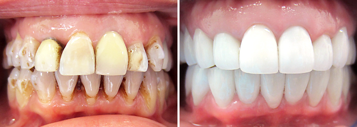
WHAT IS Full Mouth Rehabilitation?
Full mouth rehabilitation, also known as full mouth reconstruction or full mouth restoration, is a comprehensive and personalized dental treatment plan designed to restore the health, function, and aesthetics of a patient’s entire mouth. This complex and often multi-disciplinary approach is typically employed when a patient has a wide range of dental issues that affect both the upper and lower jaws. It goes beyond basic dental care and focuses on addressing severe dental problems, such as extensive tooth decay, tooth loss, gum disease, bite issues, and more.


Comprehensive Evaluation
The process begins with a thorough assessment of the patient’s oral health. This may include X-rays, impressions, digital scans, and clinical examinations to identify all existing dental problems.
Treatment Planning
Based on the evaluation, a customized and detailed treatment plan is developed. This plan may involve various dental specialists, including prosthodontists, oral surgeons, orthodontists, periodontists, and endodontists, as needed.
Addressing Dental Issues:
Full mouth rehabilitation often includes a focus on enhancing the appearance of the teeth and smile. Cosmetic dentistry procedures like teeth whitening, veneers, and gum contouring may be incorporated to improve aesthetics.

Addressing Dental Issues: The treatment plan can include a combination of procedures, depending on the patient’s specific needs. These may include:
- Tooth Extractions: The removal of severely damaged or decayed teeth.
- Dental Implants: Replacement of missing teeth using dental implants and crowns.
- Orthodontic Treatment: Correction of misaligned teeth or jaw issues.
- Dental Crowns and Bridges: Restoration of damaged teeth with crowns or replacement of missing teeth with bridges.
- Dentures: Full or partial dentures may be used to replace multiple missing teeth.
- Gum Disease Treatment: Addressing gum problems and periodontal issues.
- Temporomandibular Joint (TMJ) Treatment: Treating TMJ disorders and associated jaw pain.
Ongoing Maintenance: After the completion of the restorative work, ongoing oral hygiene and regular dental check-ups are essential to maintain the results and prevent further dental problems.
Full mouth rehabilitation is a complex and highly individualized process, and it is typically reserved for patients with extensive dental issues. It aims to not only restore oral health and function but also to enhance the patient’s overall quality of life by providing a functional and aesthetically pleasing smile. The specific procedures and duration of treatment will vary from patient to patient based on their unique circumstances.